
作者:神经外科来源:发布日期:2020/08/28浏览次数:7569
“真应该早点来这儿检查的,如果没有你们及时发现和果断处置,真不知后果会怎样了。”8月30日上午,准备出院的王女士(化名)不停感谢着。
老家在广州的王女士,今年60岁。大约半个月前,王女士突然出现胃口不振的症状,一开始她没放在心上,没想到之后恶心的次数越来越频繁,东西一吃进去就觉得恶心想吐。王女士到当地卫生院以胃病治疗了一段时间后,病情没有明显好转。
频繁呕吐原来是脑瘤作怪
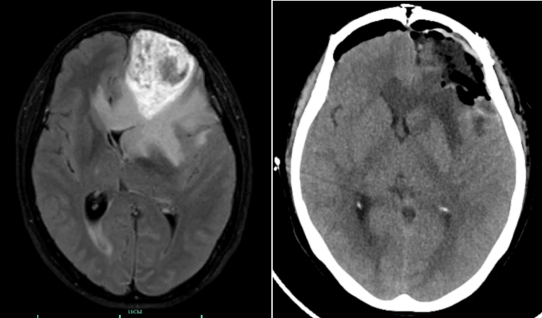
14日,王女士在家人的陪伴下来到宁大附属人民医院(鄞州人民医院)就诊,检查结果显示,王女士患有恶性脑胶质瘤,且因为肿瘤巨大导致严重的脑水肿引起严重的颅内压增高,才会出现频繁的呕吐症状。

“像这种情况就像体内埋着一颗定时炸弹,若不立即进行手术切除肿瘤,随时会有生命危险。”8月15日,神经外科主任高峰带领团队为王女士施行了神经导航下“左额开颅脑肿瘤切除术”。历时5小时,将肿瘤精准地完整切除。
高峰介绍,脑神经胶质瘤是发生在神经外胚层的肿瘤,在所有脑肿瘤中发生比例排名第一,是一种常见的颅内恶性肿瘤。“脑神经胶质瘤虽然是恶性肿瘤,但并非束手无策,其预后与肿瘤发现的早晚、恶性程度以及治疗的规范性密切相关。”
高峰提醒,一旦身体出现反复头痛,莫名呕吐等不适症状时,绝对不可轻视,应及时到医院进行检查,早发现、早治疗,以获得更好的效果。’
专家介绍

高峰,神经外科主任医师,医学博士,宁波大学硕士研究生导师。宁波大学附属人民医院神经外科主任/学科带头人,创伤中心主任,博士联谊会会长,上海市颅脑创伤研究所宁波诊疗中心执行主任。
擅长:胶质瘤、脑膜瘤、颅内转移性肿瘤、垂体瘤、椎管内肿瘤等的微创手术治疗以及重度颅脑外伤的综合治疗,同时在高血压脑出血、动脉瘤、脑血管畸形等脑血管病及面肌痉挛、三叉神经痛、癫痫等功能神经外科疾病的诊治方面也积累了丰富的临床经验,在宁波市率先开展迷走神经电刺激治疗药物难治性癫痫。在国际国内专业期刊以第一作者发表论文十余篇,其中数篇被SCI及IM收录,参与并完成多项省市级科研课题研究,目前在研课题5项。
专家门诊时间:周三上午
咨询电话:17757462263