
作者:神经外科来源:发布日期:2020/08/11浏览次数:6428
陈婆婆一直身体硬朗,但最近早晨起来后明显感觉头痛,虽然到了下午会有所缓解,但头痛一直不见好转,记忆力也明显下降,常常到了中午就忘了早上发生的事情,甚至答非所问。而根据她自己及家人的记忆,陈婆婆头部并没有受过什么伤,家里人非常担心。经我科门诊检查,诊断结果浮出水面,慢性硬膜下血肿!神经外科高峰主任团队为陈婆婆及时安排了微创手术治疗,现已恢复健康。
在老百姓眼中,颅脑疾病尤其是出血常常起病突然,发病较急,而慢性硬膜下血肿则明显不同,其在老年群体中多发,患者往往仅在病发几月前有轻微头部外伤史,甚至没有明显外伤。其主要表现为轻微的头痛,症状会随着血肿增大逐渐加重,逐步出现记忆力下降,四肢乏力等表现,而当血肿逐步增大至临界点时,症状常突然变化加重,严重的患者大脑中线偏移明显,甚至诱发脑疝,危及生命!因此,广大患者更应引起警惕,若有不适,需及时就诊!

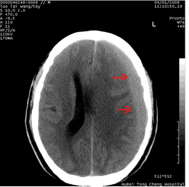
图1:红箭头:慢性硬膜下血肿
我科近一周连续接诊了5例的慢性硬膜下血肿患者,且均以高龄老年人为主,平均年龄达80岁以上,陈婆婆就是其中一名患者。术后,陈婆婆很快恢复了往日的精神,脸上再度出现了往日的神采,其家属更是为科室送来了锦旗!

图2:患者及家属与医师团队合影; 高峰主任(左二) 、王铮铮主治医师(左一)、顾嘉杰医师(右一)
救治伤患是医生的天职,我科始终坚守这一理念,为广大患者带来无微不至的医疗关怀。因慢性硬膜下血肿多见于老年人,且起病隐匿,容易被忽略,因此我们在此也提醒您和您的家人提高警惕,如有上述不适,请及时就诊!