
作者:葛萌 郑瑜 梁瑞嘉来源:NBTV新闻中心发布日期:2018/11/07浏览次数:5939
11月1日下午6点,34岁的外卖员小王在送外卖途中突然晕倒在地、肢体偏瘫,被紧急送到鄞州人民医院抢救。
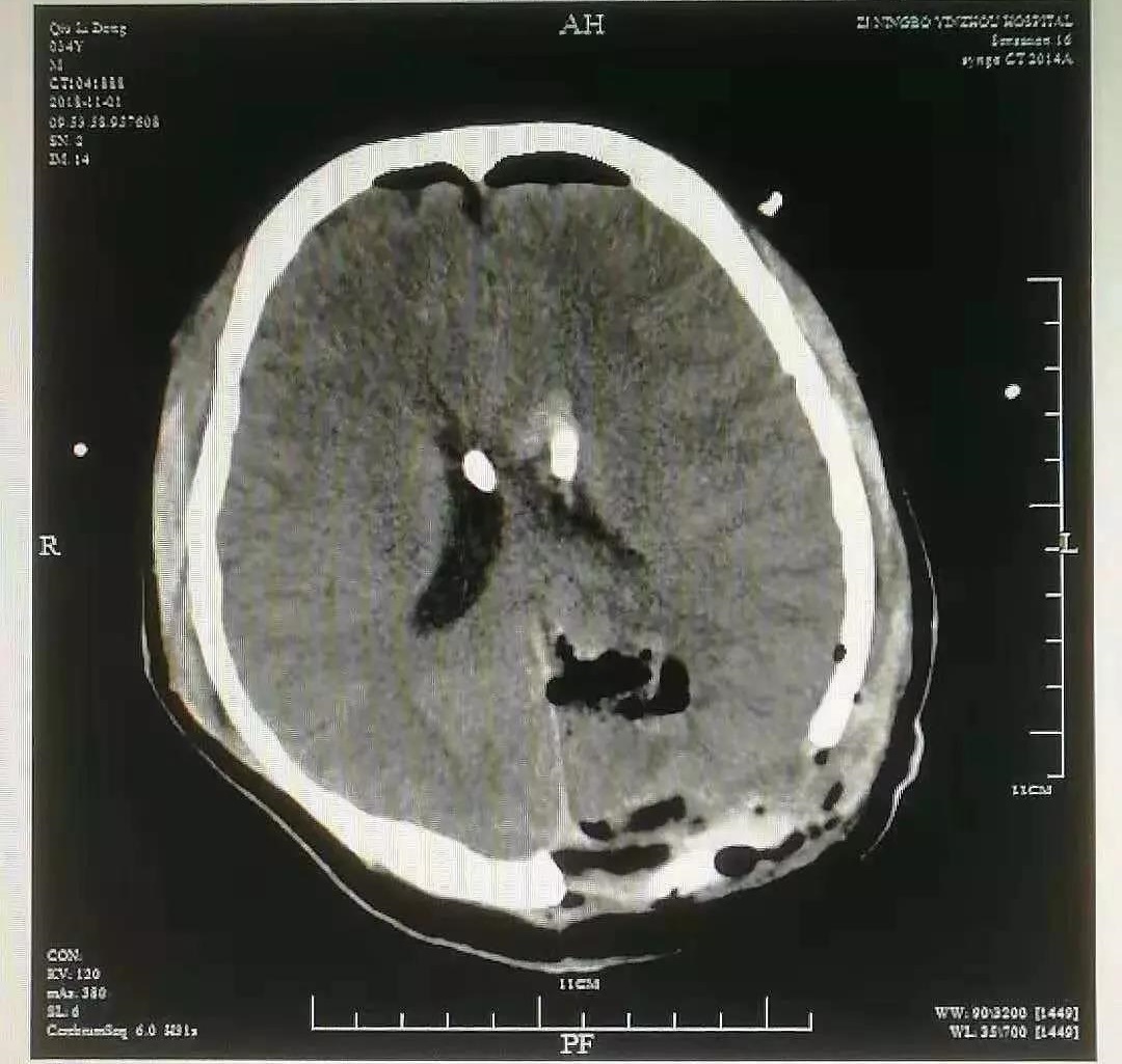
头颅CT显示,小王的左侧枕叶大面积脑出血,出血已破入脑室。该院神经外科主任医师高峰立即为其实施了手术,现在,小王已脱离生命危险。
AVM
每年季节更替、忽冷忽热的时候,都是脑血管病的高发期。脑出血患者多数集中在50岁以上,但近年来,年轻人患病也屡见不鲜。
那么,这些年纪轻轻、看似身体健康的人,怎么会突然发病?
高峰介绍,年轻患者脑出血多数是因先天性脑血管畸形引起,而中年病人很多则是由于脑动脉瘤破裂导致,老年人以单纯性高血压脑出血和血管硬化性脑出血等多见,同时,还有些血液病和肝功能障碍的病人,也容易出现脑出血现象。
术前影像

术后影像

小王的脑出血就是因为颅内动静脉畸形引起的,近年来,医院还接诊了多例类似患者。
高峰介绍,脑动静脉畸形多见于年轻人,以20岁-30多岁青壮年发病率最高,男性多于女性。病变可发生于脑的任何部位,但以顶叶最多,其次为额叶及颞叶。发病时可表现为头疼、肢体偏瘫、癫痫、恶心呕吐、意识障碍等。手术切除是治疗颅内动静脉畸形最彻底的方法,可以消除病变出血的风险,改善脑血供,还能控制癫痫发作。对于病变小于3cm的,位于重要功能区,或者位置深在,不能手术的患者,可以选择立体性放射治疗。
预防脑出血
记住“三要”
1、注意保暖,寒冷会引起血管收缩,促使血压上升。尤其在冬季,做好保暖工作,可以使身体适应气候的变化。
2、早晚喝温开水,体内缺水时,会使血液变稠,血流变慢,从而增加心脑血管病的发生几率,而饮水可以降低血液粘稠度,因此,要养成平时多饮水的习惯。
3、先兆症状要及时发现,出现剧烈头痛、头晕、晕厥、呕吐等症状一定要及时就医。