返回主站
您当前的位置:首页>疾病指南

眶上外侧入路嗅沟巨大脑膜瘤切除术

作者:张剑平来源:发布日期:2018/08/29浏览次数:8365

病人,女性,66岁,因“反应迟钝半年”入院,入院诊断嗅沟巨大脑膜瘤。

张剑平治疗组在全麻下行左侧眶上外侧入路行肿瘤切除术,手术顺利,术后10天拆线。出院时患者无神经功能障碍。术后1个月复查,患者言语流利,肢体功能良好,认知能力明显改善,复查MRI提示肿瘤全切。


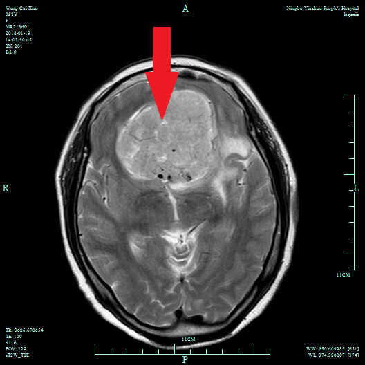
术前颅脑MRI增强,剪头提示嗅沟巨大脑膜瘤。

图片1.png

术后1月再次复查颅脑MRI增强

image.png