返回主站
您当前的位置:首页>疾病指南

眶上外侧入路后交通动脉瘤夹闭术

作者:张剑平来源:发布日期:2018/08/29浏览次数:8584

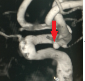
病人,女,55岁,因“突发头痛1天”入院,头颅CTA提示左侧后交通动脉瘤:

张剑平治疗组在全麻下行左侧眶上外侧入路后交通动脉瘤夹闭术,术后10天患者拆线出院,出院时无神经功能障碍。术后复查DSA和CTA动脉瘤夹闭完全。

术前3D-DSA,红色剪头提示动脉瘤

图片1.png

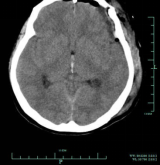
术后第一天复查颅脑CT

image.png

术后复查CTA

图片2.png