返回主站
您当前的位置:首页>疾病指南

眶上外侧入路鞍结节脑膜瘤切除术

作者:张剑平来源:发布日期:2018/08/29浏览次数:8394

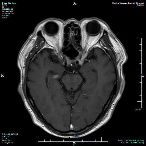
病人 男性 60岁,因“双眼视力下降6月”入院,入院诊断:鞍结节脑膜瘤

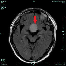
张剑平主任医师治疗组在全麻下行右侧眶上外侧入路肿瘤切除术,术后6个月复查双眼视力基本正常。


术前MRI增强,红剪头提示肿瘤大小及位置

图片1.png


术后6月复查MRI,见肿瘤已全切,无残留。

图片2.png