
作者:玉红来源:宁波晚报发布日期:2018/08/29浏览次数:7064
8月15日清晨4点多的时候,在塘溪镇工地打工的盛师傅,像往常一样起床上厕所,突然一阵剧烈的头痛感袭来,让这位正直壮年的汉子,深刻体会了“头痛欲裂”这个词的感受,休息了一会儿,痛感不轻反重,家人当机立断,请工友帮忙开车送到鄞州人民医院。急诊科医生告诉他,好在送医及时,再晚点就没命了!
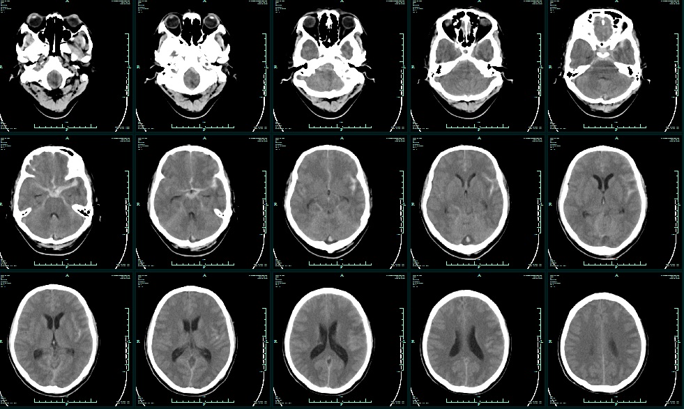
这位40多岁身强力壮的盛师傅到底是得了什么病呢,他既没有高血压也没有心脏病,为何情况会如此凶险呢?原来,脑血管造影结果显示,极为罕见的血泡样动脉瘤让这位盛师傅给赶上了。大脑动脉瘤估计大家并不陌生,也知道这是非常凶险的疾病,一旦破裂凶多吉少,而盛师傅的血泡样动脉瘤更是动脉瘤中的“轰炸机”!
血泡样动脉瘤起自颈内动脉床突上段前壁非分叉部,该类型的动脉瘤实际是假性动脉瘤,特点是瘤体为血管壁外膜,无瘤颈,极为菲薄透明,在对其手术的过程中及术后都极易发生破裂出血,死亡率极高,治疗也非常困难,对术者的专业素质和心理素质都有着极高的要求。
8月15日晚上,也就是在患者入院当晚,我院神经外科主任徐永康主任医师带领手术团体为盛师傅在全麻下行开颅血泡样动脉瘤包裹夹闭术,手术中先对动脉瘤相关的三支血管进行临时阻断,把动脉瘤孤立后,对动脉瘤进行了塑形,然后采用患者自体骨膜对动脉瘤进行包裹,最后用动脉瘤夹进行固定夹闭。整个手术历时三个多小时,手术圆满成功,手术后第二天患者从ICU转入普通病房,神志清,言语流利,对答切题,四肢活动可,功能完整保留,并且最大程度的减轻了患者的经济负担。
术后第六天,盛师傅在家属的搀扶下已经下床走路了,他的老婆说起徐主任是赞不绝口:从来没进过这么好的医院,遇到这么好的医生,手术费不够,先救命再缴费。最重要的是医术精湛,态度和蔼,真正是仁医仁德,救死扶伤!
而对于鄞州人民医院神经外科来说,血泡样动脉瘤开颅手术的成功开展,亦是一个里程碑式的节点,从此鄞医神外多了个高精尖的新标签,让宁波人民除了杭州上海,在家门口也有了更信赖更便捷的选择。
术前CT

术前CTA

术前DSA
