
作者:LIANG来源:发布日期:2018/08/04浏览次数:6229
基本概述
高血压脑出血是高血压病最严重的并发症之一。高血压脑出血是一种高发病率、高致残率和高死亡率的脑血管疾病,起病急骤、病情凶险、死亡率高,是危害人类健康常见的严重疾病,也是急性脑血管病中最严重的一种,为目前中老年人致死性疾病之一。发病后1月内病死率高达30%-50%,脑出血后6个月仍有80%的患者后遗残疾,存活者中30%遗留神经功能障碍,从而给个人、家庭和社会造成沉重的负担。
高血压脑出血常发生于50~70岁,男性略多,冬春季易发。高血压病常导致脑底的小动脉发生病理性变化,突出的表现是在这些小动脉的管壁上发生玻璃样或纤维样变性和局灶性出血、缺血和坏死,削弱了血管壁的强度,出现局限性的扩张,并可形成微小动脉瘤。因情绪激动、过度脑力与体力劳动或其他因素引起血压剧烈升高,导致已病变的脑血管破裂出血所致。其中豆纹动脉破裂最为多见,其他依次为丘脑穿通动脉、丘脑膝状动脉和脉络丛后内动脉等。因此,高血压脑出血有其特定的好发部位,据大宗病例统计,55%在壳核外囊区,15%在脑叶皮层下白质区,10%在丘脑,10%在脑桥,10%在小脑半球。而发生在延髓或中脑者极为少见。
临床表现
高血压性脑出血常在活动时、激动时、用力排便等时刻发病,起病急骤,往往在数分钟或数小时内病情发展到高峰。临床表现视出血部位、出血量、全身情况等因素而不同。一般发病为突然出现头痛、头晕、恶心、呕吐、肢体麻木、乏力、抽搐、言语含糊不清等,并且多伴有躁动不安、嗜睡或昏迷。当血肿扩大,脑水肿加重,遂出现颅内压增高,引起血肿侧瞳孔散大等脑疝危象,出现呼吸障碍,脉搏减慢,血压升高等生命体征改变,危重者可致死。
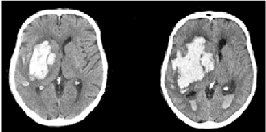
辅助检查
为确定出血的部位和血肿大小,需要进行特殊检查。颅脑CT扫描使脑出血的诊断准确、安全和简便。颅脑CT检查能清楚显示出血部位、血肿大小、出血扩散方向及脑水肿范围,为治疗方案选择提供重要依据。颅脑MRI也能帮助脑出血在短时间内作出准确的诊断。

诊断
中老年高血压患者在活动或情绪激动时突然发病,迅速出现偏瘫、失语等局灶性神经功能缺失症状,以及头痛头晕、恶心呕吐及意识障碍等,常高度提示脑出血可能,颅脑CT检查可以确诊。
治疗
积极合理的治疗可挽救患者生命、减少神经功能残疾程度和降低复发率。
1.非手术治疗
患者卧床,保持安静。重症患者须严密观察体温、脉搏、呼吸和血压等生命体征变化,注意瞳孔和意识变化。保持呼吸道通畅,及时清理呼吸道分泌物,必要时吸氧,动脉血氧保护度维持在94%以上。加强翻身扣背护理,保持肢体功能位。意识障碍和消化道出血者宜禁食24~48小时,之后留置胃管。
(1)控制高血压 对高血压性脑出血,应及时应用适当的降压药物以控制过高的血压。但降压不可过速、过低。急性脑出血时血压升高是颅内压增高情况下保持正常脑血流的脑血管自动调节机制,降压可影响脑血流量,导致低灌注或脑梗死,但持续高血压可使脑水肿恶化。收缩压≥180mmHg或舒张压>105mmHg者,使收缩压下降至160mmHg以下。
(2)控制脑水肿,降低颅内压 脑出血后48小时水肿达到高峰,维持3~5日或更长时间后逐渐消退。脑水肿可使颅内压增高和导致脑疝,是脑出血主要死因。故降低颅内压是脑出血急性期处理的重要环节。常用甘露醇、甘油果糖、高渗盐水、利尿药和血浆白蛋白等。甘露醇最常用,其脱水作用迅速,但要监测肾功能,防止肾功能损害。
(3)止血药 一般认为脑内动脉出血难以药物止血,如需给药可早期(<3小时)给予抗纤溶药物如6-氨基己酸、止血环酸等。立止血也推荐使用。脑出血后凝血功能评估是必要的。由于其他疾病长期服用抗血小板药物及抗凝药物者,出血急性期应停止服药。
(4)保持营养和维持水电解质平衡 每日液体输入量需包括生理需要量及潜在丢失量,高热、多汗、呕吐或腹泻的患者还需适当增加入液量。注意防止低钠血症,以免加重脑水肿。监测肾功能及电解质变化。注意监测血糖变化,避免血糖过高或低血糖。
(5)并发症防治 ①感染 老年患者合并意识障碍易并发肺部感染,尿潴留或导尿易合并尿路感染,可根据经验、痰和尿培养、药物敏感试验等选用抗生素治疗;②应激性溃疡 重症脑出血者可引起消化道出血,可用PPI类药物;若发生上消化道出血可用去甲肾上腺素加冰盐水口服,保守治疗无效时可在胃镜直视下止血;③下肢深静脉血栓形成 常见患肢进行性水肿和发硬,勤翻身、弹力袜、被动活动或抬高瘫痪肢体可预防,肢体静脉彩超检查可确诊,可用肝素静脉滴注或低分子肝素皮下注射预防及治疗。
2.手术治疗
手术适应症和禁忌症选择:应建立在对患者整体状况全面考虑基础上,根据患者意识状态、出血量、出血部位、出血时间、是否存在严重继发性损害如急性梗阻性脑积水或脑疝,结合患者全身情况进行综合考虑。一旦决定手术应尽快清除血肿。对选择内科治疗的患者,应密切注意病情变化,若病情进行性加重或复查CT提示血肿增大、出现脑积水征象,或内科方法难以控制颅内压增高,应及时采取外科治疗。深昏迷伴有双侧瞳孔散大固定的患者,手术效果极差。
(1)骨瓣或小骨窗开朗血肿清除术:骨瓣开颅虽然创伤稍大,但可在直视下彻底清除血肿,止血可靠,减压迅速,还可以根据患者的病情及术中颅内压变化以及术后颅内压进行预判等,决定是否行去骨班减压。小骨窗开颅损伤小,手术步骤简便,可迅速清除血肿,直视下止血也较满意。
(2)立体定向血肿清除术及血肿纤溶引流术:在CT定位并引导立体定向仪或神经导航引导下精确的血肿穿刺,然后碎吸血肿或纤溶后洗除血肿并安放引流的一种手术。此类手术较开颅手术创伤小。
(3)神经内镜下血肿清除术:随着神经内镜功能和技术的不断发展完善,其具有冲洗、吸引及直视下观察及止血等优点,使之更适合颅内操作。有学者将神经内镜治疗和常规内科治疗高血压脑出血进行随机对照研究,结果表明内镜手术组的病死率及致残率明显低于内科组。
术后康复治疗
脑出血患者病情稳定后宜尽早进行康复治疗,对神经功能恢复,提高生活质量有益。如患者出现抑郁情绪,可及时给予药物治疗和心理支持。
疾病预防
研究表明,血压水平与脑卒中发病危险呈对数线性关系,基线收缩压每升高 10 mmHg,脑卒中发生相对危险增加 49%(缺血性卒中增加 47%,出血性卒中增加 54%);舒张压每升高 5 mmHg,脑卒中危险增加 46%。东亚人群分析显示,中国和日本人群中,血压升高对脑卒中发病作用强度为西方人群的 1.5 倍。
容易发生高血压脑出血的时刻:1) 血压波动大,控制不理想时;2) 情绪激动,如吵架等时;3)过度劳累 如爬山、长途旅行等;4)大量饮酒;5)季节变化时,如秋冬之交、冬春之交等。
最后需要强调,长期有效控制高血压达标,防止血压突然急剧升高,是预防脑动脉破裂的关键。即使血压达标后,至少每周测量一次血压,以保证血压始终控制在达标范围内。除此之外,控制体重,生活规律,控制血脂血糖,保持心情舒畅,不要过于劳累等措施可明显减少脑出血的发生。