
作者:liang来源:发布日期:2018/08/02浏览次数:9281
垂体瘤的手术分为开颅显微手术、经鼻蝶显微手术和经鼻蝶神经内镜手术。神经内镜是近二十年发展起来的神经外科微创技术,与传统开颅手术和经鼻蝶显微镜手术相比,经鼻蝶神经内镜手术具有良好的观察角度和清晰的视野,借助不同的角度镜和抵近观察,神经内镜可以容易地观察到显微镜视野之外的部位是否有肿瘤残留,因此可在直视下直接完全切除肿瘤,降低了肿瘤残留可能,大大提高了手术的肿瘤全切率;此外,由于内镜广阔的视野,同时借助术中导航和超声多普勒等仪器,有助于术者辨认重要的骨性解剖结构和颈内动脉等重要血管,从而提高了手术的安全性;神经内镜手术入路采用鼻腔生理腔隙,无需开颅,患者心理负担轻,创伤小,出血少,住院时间短,花费少,是目前垂体瘤手术的主流治疗方式。
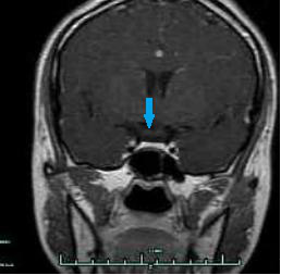
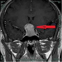
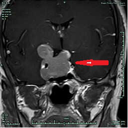
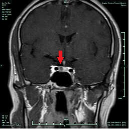
CASE1 病人***女性,36岁,因“视力下降2月”入院,入院诊断垂体大腺瘤。
在全麻下行经鼻内镜下垂体瘤切除,病人术后恢复良好,视力明显改善,术后7天出院,术后3个月复查未见肿瘤明显残留。(红色箭头提示术前肿瘤,蓝箭头提示术后复查未见肿瘤残留)

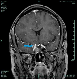
CASE2 病人***女性,46岁,因“视物明显下降2周”入院,入院诊断:垂体侵袭性大腺瘤;
在全麻下行经鼻内镜下垂体瘤切除,术后视力较前明显好转,术后恢复良好, 术后8天出院,出院3月复查仅海绵窦区少许肿瘤残留,继续随访。(红箭头提示垂体大腺瘤,蓝箭头提示术后复查海绵窦有少许肿瘤残留)

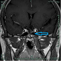
CASE3 病人***男性,30岁,因“性功能下降、不育5年”入院,入院诊断垂体泌乳素微腺瘤。
在全麻下行经鼻蝶内镜下垂体微腺瘤切除术,术后病人泌乳素指标恢复正常,性功能有一定改善。(红色箭头示黑色圆点为垂体微腺瘤;蓝色箭头示术后3个月复查未见肿瘤显示)

术中照片:主刀医生及助手行神经导航辅助经鼻蝶内镜下垂体瘤切除术

上一条:没有了!