
作者:hxk来源:未知发布日期:2016/04/04浏览次数:7323
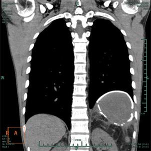
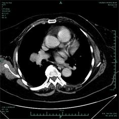
近日我科收治了3例在多家医院无法确诊的疑难病例,均在接诊后第一时间通过介入或者影像技术确诊。上月初我科收治一右侧肺门肿大的患者,该患者既往有淋巴瘤病史,曾在我市多家医院就诊,无法探明肿块具体病因,后转至上海某著名医院,对肿块进行了经皮肺穿刺活检,但仍然无法确诊,后求诊我院,我科俞万钧书记,彭卫东主任等在接诊后第一时间对其进行支气管镜检查,同时凭临床经验行TBLB,对肿块进行定位活检,1周后患者病理证实鳞癌。上月中旬,又一患者慕名来至我科,要求确诊病因。该患者为一老年男性,左侧肺部靠近肺动脉处发现2个结节,我市多家市级医院通过支气管镜等手段无法确诊,后转至上海某著名专科医院,仍然无法确诊,后经人介绍,至我科,我科俞万钧书记,彭卫东主任等制定经皮穿刺方案,因病灶靠近肺动脉,我科在CT室李胜主任的协助下,凭借丰富临床经验取得活检标本,证实肿块为结核,患者感激涕零。本月初,一中年男性因发热1月余,来我院就诊,在我院就诊前,该患者先后就诊于我市多家县市医院,后转至杭州专科医院,均无法确诊,患者万般无奈,承受着肉体和精神的煎熬,来我科就诊。第二天,查房,我科俞万钧书记,彭卫东主任,徐涛副主任医师等通过读片,重点怀疑是患者的腹部炎症感染,通过CT室李建斌医师的帮助,对患者的病灶进行三维重建,确诊患者为膈下慢性脓肿,DSA马霁波医师进行穿刺,引流出脓液将近1000ml,患者体温渐渐恢复正常,目前患者康复中。我科近年来,特别是去年以来,在俞万钧书记的带领下,呼吸介入水平突飞猛进,同时积极寻求多科合作,和我院肿瘤放化疗科,影像科,CT室,病理科等保持密切合作,共进互助,努力为患者解除病魔痛苦,更好地为人民健康服务。(徐涛)