欢迎来到宁波大学附属人民医院!   连续两次通过JCI认证的公立医院、首届浙江省“十佳医院”

在线服务

您的位置:首页>在线服务>健康园地

放射科的检查,为什么要脱衣服?

作者:FSK来源:放射科发布日期:2015-11-16浏览次数:5479

  我们放射科是一个临床的辅助科室,也是目前必不可缺少的科室,现在大多数的临床诊断需要依靠于放射科的检查,这意味着放射科每天都会迎来一拨又一拨的人潮。而放射科的每一个检查都有讲究,并且极其严格。比如说,放射科检查为什么要脱衣服呢,让我细细跟你说来:
  合理的尴尬
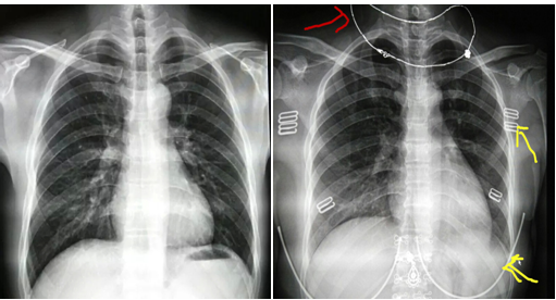
  很多患者来放射科检查,肯定有过很多疑问。比如:为什么要脱胸罩,脱衣服。我们看看下面的图片,第一张是一个正常的胸部正位片。这是去除了胸罩拍的标准的片子,我们看到的肺野没有异物。双肺、心脏及骨头都显示很清楚。 

                                                           

                        图1                图2

我们看看第二张,这是没有脱胸罩照的。对比第一张,我们看到红色箭头的是戴在脖子上的项链,黄色箭头指的是胸罩的扣子和钢圈。这些体外的异物跟我们要观察的骨头和肺重叠了,如果刚好这些部位有病灶,这些体外的异物就会遮挡了病灶,导致漏诊及误诊。
  能避免的尴尬
  但是,对于来放射科检查,并不是所有女性患者都得脱胸罩。而是拍哪个部位就需要那个部位没有金属等异物。比如:要拍的是胸部,就需要胸部没有金属等不透X线的物体,比如胸罩、衣服的金属扣子,这个时候就需要脱衣服,脱胸罩。但是要拍的是腿,那么保证相应要拍的腿部分没有金属就可以了,就不需要脱胸罩这些了。一般的衣料不会在片子上留下痕迹,特殊的扣子除外。


图3

  再看看图三,这是一个立位腹部平片,用老百姓的话就是拍肚子的X光片子。那么肚子部分的有金属的东西都必须拿掉(比如裤子的裤链,扣子,外面裤子就需要往下脱了),但是拍肚子的时候要包括部分的下胸部,我们可以看到片子上黄色箭头指的是胸罩的钢圈,红色箭头指的就是后面的扣子。这个时候扣子就跟胸椎重叠了,如果这个骨头有事,有可能就看不出来了,就是导致了漏诊。
  所以对于女性的患者,拍胸片及腹部X光平片胸罩必须要去除。我们要求住院的女患者不能穿胸罩以及其他有金属的衣服来检查,但是对于年轻女性患者,这是做不到的。而很多女患者在机房里被要求脱胸罩也不理解。不仅耽误了检查时间,也引起了不必要的误会。科室对于这种情况,在机房旁边专门设立了更衣室,要求女患者去把胸罩脱了,或者换上病号服再过来检查。否则一律不给检查。
  对于CT检查,原理是一样的。拍哪个部位,那个部位就不能有金属的东西。比如口咽CT扫描,有金属假牙的就需要摘下来,不然就有金属伪影。CT讲的是“金属伪影”这个词。
  对于MR检查,却又是完全不一样的概念。磁共振机房里有一个巨大的磁铁形成的磁场,利用磁场脉冲使人体组织内进动的氢核(即H+)发生章动产生射频信号,经计算机处理而成像的。由于机房里的巨大磁铁存在,所以凡是带有磁性的和金属的物品都不能进入机房,比如银行卡,钥匙、耳环项链等等,如果带了进去的,银行卡会被消磁,而金属的物品会被吸到机器上,拔不下来,这时候需要整个机房断电,使机器消磁,重新调试,机器才能重新使用。这一个过程,损失巨大。特别注意的是体内有金属植入物的,尽量不做,不然会引起体内的金属植入物移动,导致软组织损伤。所以磁共振检查,需要患者把所有衣服换下来,并且要告知医生有无金属植入病史。MR检查,比X线及CT要严格得多了。
  沟通是化解尴尬的良方
  对于夜班急诊的,只有一个男值班医生,要求女的脱胸罩或衣服,这时候患者就显得特别尴尬了。只有一个医生,这个时候就尽量跟患者做好解释的工作了。尽量去除身上的金属伪影,减少误诊。小编是个女医生,有一次夜班一个腰痛的小伙子过来拍腰椎。我跟他解释说裤子上有裤链和扣子,会有影响,叫他把外面裤子脱下来,他把所有裤子都准备往下脱了,急得我赶紧制止,这时候我显得异常尴尬了,再一次跟他好好解释。女医生值班,遇到能好好沟通的患者都不怕,最怕有些听不懂又很无赖的患者。
  去除体外的异物,减少伪影,每一张质量好的图像都是为了更好的诊断,跟患者进行良好的沟通,取得患者的配合,可以避免检查过程中很多不必要的尴尬。