欢迎来到宁波大学附属人民医院!   连续两次通过JCI认证的公立医院、首届浙江省“十佳医院”

院务动态

您的位置:首页>院务动态>医院动态

立体定向三维调强放射技术,让肺癌患者恢复正常生活

作者:王静微来源:31病区发布日期:2015-11-24浏览次数:12233

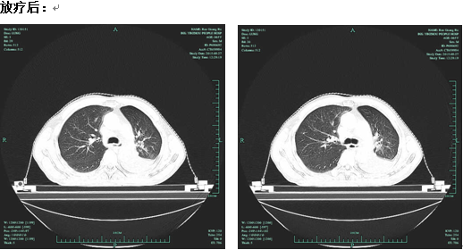
  56岁的李先生是个老烟枪,一天得抽3包烟,只要醒着就要抽烟,听他老婆讲,他把家里的蚊帐都熏黄了。一个月前,李先生出现了咳嗽咳痰、胸闷气急不适,以为是感冒就到社区卫生服务站打了几天消炎针,结果不但没好,反而原来越严重。家人赶紧把他送到了鄞州人民医院,经过检查后发现李先生得了肺癌。肿瘤长在左侧肺门处,因为空气无法从肺门进入肺部,从胸片上可以发现李先生的左肺像憋了气的气球,完全失去了肺的通气功能,由于左肺基本不张,所有的通气功能都要右肺承担,右肺透亮饱满,不堪重负。
  渐渐地,李先生24小时离不开吸氧,连大小便都要吸着氧气在床上解决,这使他痛苦不堪。他的家人曾跑遍了宁波的各大医院,希望能帮他医治肺癌。医院建议李先生做放疗,但因为李先生的肿块离心脏较近,放疗可能就会照到心脏,还会引起放射性肺炎,产生许多严重的并发症,从而威胁到患者的生命。因为放疗难度比较大,同时存在很大的放疗风险,许多医院都表示无法帮助李先生治疗。李先生家人多方打听,了解到鄞州人民医院肿瘤放化疗中心徐正阳主任曾成功治疗过像李先生这样的肺癌病例,因此他的家人找到了徐主任。
   徐正阳主任了解完病情后,与相关医生一起为李先生制定放疗方案。怎样才能保证肿瘤组织获得足够的致死剂量,又要防止正常组织接受过多的照射而造成放射损伤呢?最后,徐正阳主任决定使用我院成熟的立体定向三维调强放射技术,为李先生治疗肺癌。
  立体定向三维调强放射治疗技术是精确放疗的一种治疗方式,它与常规的放射治疗相比,该技术需要医生付出更多的精力,更多的耐心和细心。徐正阳主任团队利用CT、MRI、X光片等影像技术,借助计算机的特殊软件反复对照,终于得到了病变在体内的精确空间位置。不仅如此,他们还为李先生认真反复计算,得出了控制肿瘤所需的精确的放射靶区剂量和次数,目的是使立体定向三维调强放射治疗技术能精确照射,从而帮助李先生杀灭肺门的肿瘤,提高他的生活质量。李先生自9月8号第一次采用放疗治疗至今,不仅没有出现放射性肺炎等严重并发症,而且病灶减小,左肺又重新张开了,心脏功能也恢复了正常。
(以下为放疗前后对照CT)