欢迎来到宁波大学附属人民医院!   连续两次通过JCI认证的公立医院、首届浙江省“十佳医院”

院务动态

您的位置:首页>院务动态>医院动态

呼吸科应用“粒子植入”技术治疗肺部晚期肿瘤疗效好

作者:徐涛来源:呼吸科发布日期:2014-08-29浏览次数:12029

 
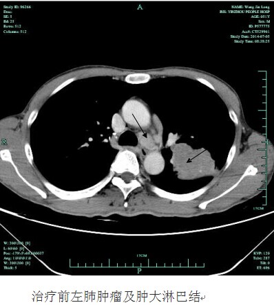
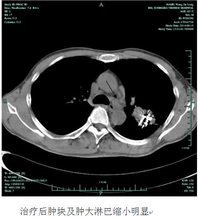
    今年50岁家在我市江北区的王师傅,一个月前连续1周突然莫名发热,自行服了很多药都未见好转。由于体温一直徘徊在38.0左右,老王来到我院呼吸科就诊,门诊检查后,发现王师傅血红蛋白明显偏低,考虑贫血,当即将他收治入院。患者入院后,经胸X片等各项常规检查发现,王师傅左侧肺部有一巨大的阴影。进一步的胸部CT提示:首先考虑恶性肿瘤,且肿瘤巨大,有7X8CM大小,肿瘤内部已经发生溃烂坏死,同时远处的淋巴结已经转移。随后的肺活检证实王师傅得了肺腺癌。因为肿瘤已经晚期,错过了手术的机会,王师傅体质又偏弱,恐怕无法耐受化疗,全家人天天以泪洗面,王师傅更是已到精神崩溃边缘。针对患者的严重病情,为挽救其生命,呼吸科学科带头人俞万钧副院长和彭卫东主任,经多次组织科室讨论治疗方案,同时对患者病例通过远程网络会诊,和浙江省肿瘤医院的权威专家制订了放射性粒子碘125置入肿瘤的姑息治疗方案。手术在局麻下进行,其方法是首先在CT定位下确定粒子置入的位置,进定位针,深入肿瘤内部,沿定位针放置放射性粒子。手术非常顺利,术中王师傅一直保持清醒状态,术后3天,王师傅就出院了。昨日王师傅来我院复诊,除早已没有发热症状外,整个人精神状态非常好,和常人无异,胸部CT复查发现左肺的肿瘤已经缩小近一半,更为不可思议的是,王师傅左胸肿大转移的淋巴结也变小了。据悉,接下去呼吸科将为王师傅制定下一步诊疗计划,以抑制肿瘤的再次增长。
    “粒子植入技术”全称为放射性粒子植入治疗技术,是一种将放射源植入肿瘤内部,让其持续释放出射线以摧毁肿瘤的治疗手段。对放化疗等治疗手段无法耐受或无效的晚期肿瘤患者,粒子植入治疗是目前的最佳选择。选择粒子植入治疗技术涉及放射源,其核心是放射粒子。现在临床运用的是一种被称为碘125的物质。每个碘125粒子就像一个小太阳,其中心附近的射线最强,射程1.7cm,可最大限度降低对正常组织的损伤。该技术复杂,需要临床科室,核医学科,介入科(放射科)等学科联合开展。据悉,我院呼吸科已成功开展数十例粒子植入手术,均取得不同程度的效果。